치료후기
이온한의원 치료후기 게시판
이온한의원에서 치료받으신 분들의 생생한 후기를
확인하실 수 있습니다.
이온한의원
치료후기 게시판
이온한의원에서 치료받으신 분들의 생생한 후기를 확인하실 수 있습니다.
치료후기에 사용된 전/후 검사 사진은 동일 인물의 결과이며 각 지점 동일 조건에서 촬영되었습니다. 개인에 따라 치료 결과에 차이가 있을 수 있으며, 부작용이 발생할 수 있습니다. 내원 후 충분한 상담 후 치료를 진행하시면 됩니다.
치료 후기에 사용된 전/후 검사 사진은 동일 인물의 결과이며 각 지점 동일 조건에서 촬영되었습니다.개인에 따라 치료 결과에 차이가 있을 수 있으며, 부작용이 발생할 수 있습니다. 내원 후 충분한 상담을 받으시고 치료를 진행하시면 됩니다.
[치료 전]
[치료 후]
- 치료횟수 : 10 회
- 치료횟수 : 58 회
- 치료기간 : 25. 8 . 18 ~ 25 . 11 .24
- 치료횟수 : 20 회
- 치료기간 : 25 . 9 . 27 ~ 25 . 11 . 19
- 치료횟수 : 12 회
- 치료기간 : 25. 7 . 15 ~ 25. 11 . 18
- 치료횟수 : 25(5cycle) 회
[후기]
치료 전
치료 후
- 치료횟수 : 11 회
[치료전]
[치료후]
- 치료기간 : 25 . 6 .28 ~ 25 . 11 .15
- 치료횟수 : 30 회
[치료 후기]
- 치료기간 : 25 . 8 . 8 ~ 25 .11 . 4
비뇨기과, 산부인과, 대학 병원 내원 이후 본원 내원
바르톨린샘염으로 추정 후 항생제 복용
회음부에 혹이 있는 것 같다 추정 후 혹 제거하는 수술
CT, 염증검사 모두 이상 없음 및 약물에도 차도가 없던 분이었습니다
현재는 4~5일에 한 번 하루 1회 가량 묵직한 느낌이
3~5분 가량 지속되다가 없어지는 수준으로 내려와서
추후 초음파 검사 및 재진 일정만 잡고 집중 치료는 마무리 한 상태입니다
NRS 9~10 → NRS 1~2
*일본 분이셔서 일본어로도 써주셨네요 ㅎㅎ
- 치료기간 : 25 . 8 . 5 ~ 25 . 10 . 28
- 치료횟수 : 4 cycle(20) 회
치료 전 (TFCC)
치료 후 (TFCC)\
이온한의원과 함께한 솔직하고 생생한
개인정보처리방침 이용약관 비급여진료비 환자권리장전
이온한의원 압구정주소 : 서울시 강남구 압구정로 28길 9, 2층사업자등록번호 : 713-91-01627
이온한의원 신도림주소 : 서울 구로구 경인로 643 신도림동아아파트 상가 205동 202호사업자등록번호 : 268-93-02004
이온한의원 압구정 | 주소 : 서울시 강남구 압구정로 28길 9, 2층 | 전화번호 : 02-543-1075 | 사업자등록번호 : 713-91-01627
이온한의원 신도림 | 주소 : 서울 구로구 경인로 643 신도림동아아파트 상가 205동 202호 | 전화번호 : 02-2675-1074 | 사업자등록번호 : 268-93-02004
치료 후기에 사용된 전/후 검사 사진은 동일 인물의 결과이며 각 지점 동일 조건에서 촬영되었습니다.
개인에 따라 치료 결과에 차이가 있을 수 있으며, 부작용이 발생할 수 있습니다. 내원 후 충분한 상담을 받으시고 치료를 진행하시면 됩니다.
[치료 전]
[치료 후]
- 치료횟수 : 10 회
치료 후기에 사용된 전/후 검사 사진은 동일 인물의 결과이며 각 지점 동일 조건에서 촬영되었습니다.
개인에 따라 치료 결과에 차이가 있을 수 있으며, 부작용이 발생할 수 있습니다. 내원 후 충분한 상담을 받으시고 치료를 진행하시면 됩니다.
[치료 전]
[치료 후]
- 치료횟수 : 58 회
치료 후기에 사용된 전/후 검사 사진은 동일 인물의 결과이며 각 지점 동일 조건에서 촬영되었습니다.
개인에 따라 치료 결과에 차이가 있을 수 있으며, 부작용이 발생할 수 있습니다. 내원 후 충분한 상담을 받으시고 치료를 진행하시면 됩니다.
[치료 전]
[치료 후]
- 치료기간 : 25. 8 . 18 ~ 25 . 11 .24
- 치료횟수 : 20 회
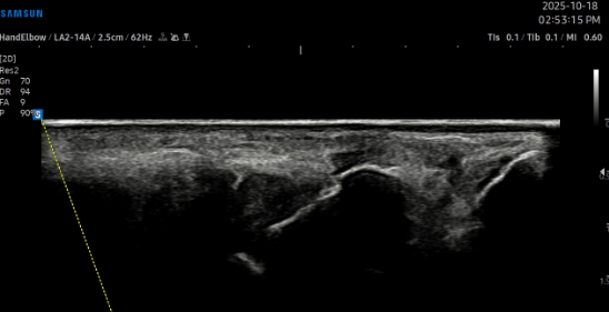
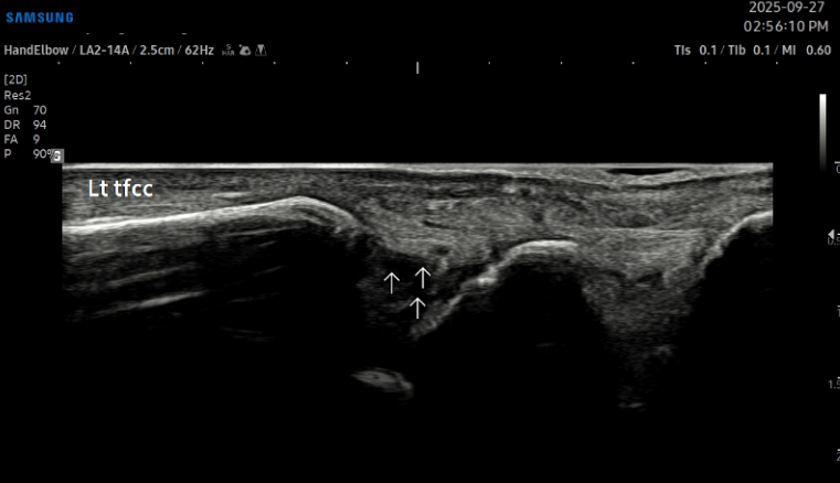
치료 후기에 사용된 전/후 검사 사진은 동일 인물의 결과이며 각 지점 동일 조건에서 촬영되었습니다.
개인에 따라 치료 결과에 차이가 있을 수 있으며, 부작용이 발생할 수 있습니다. 내원 후 충분한 상담을 받으시고 치료를 진행하시면 됩니다.
- 치료기간 : 25 . 9 . 27 ~ 25 . 11 . 19
- 치료횟수 : 12 회
치료 후기에 사용된 전/후 검사 사진은 동일 인물의 결과이며 각 지점 동일 조건에서 촬영되었습니다.
개인에 따라 치료 결과에 차이가 있을 수 있으며, 부작용이 발생할 수 있습니다. 내원 후 충분한 상담을 받으시고 치료를 진행하시면 됩니다.
- 치료기간 : 25. 7 . 15 ~ 25. 11 . 18
- 치료횟수 : 25(5cycle) 회
[후기]
치료 전
치료 후
치료 후기에 사용된 전/후 검사 사진은 동일 인물의 결과이며 각 지점 동일 조건에서 촬영되었습니다.
개인에 따라 치료 결과에 차이가 있을 수 있으며, 부작용이 발생할 수 있습니다. 내원 후 충분한 상담을 받으시고 치료를 진행하시면 됩니다.
- 치료횟수 : 11 회
치료 후기에 사용된 전/후 검사 사진은 동일 인물의 결과이며 각 지점 동일 조건에서 촬영되었습니다.
개인에 따라 치료 결과에 차이가 있을 수 있으며, 부작용이 발생할 수 있습니다. 내원 후 충분한 상담을 받으시고 치료를 진행하시면 됩니다.
[후기]
[치료전]
[치료후]
- 치료기간 : 25 . 6 .28 ~ 25 . 11 .15
- 치료횟수 : 30 회
치료 후기에 사용된 전/후 검사 사진은 동일 인물의 결과이며 각 지점 동일 조건에서 촬영되었습니다.
개인에 따라 치료 결과에 차이가 있을 수 있으며, 부작용이 발생할 수 있습니다. 내원 후 충분한 상담을 받으시고 치료를 진행하시면 됩니다.
[치료 후기]
[치료 전]
[치료 후]
- 치료횟수 : 20 회
치료 후기에 사용된 전/후 검사 사진은 동일 인물의 결과이며 각 지점 동일 조건에서 촬영되었습니다.
개인에 따라 치료 결과에 차이가 있을 수 있으며, 부작용이 발생할 수 있습니다. 내원 후 충분한 상담을 받으시고 치료를 진행하시면 됩니다.
- 치료기간 : 25 . 8 . 8 ~ 25 .11 . 4
- 치료횟수 : 20 회
비뇨기과, 산부인과, 대학 병원 내원 이후 본원 내원
바르톨린샘염으로 추정 후 항생제 복용
회음부에 혹이 있는 것 같다 추정 후 혹 제거하는 수술
CT, 염증검사 모두 이상 없음 및 약물에도 차도가 없던 분이었습니다
현재는 4~5일에 한 번 하루 1회 가량 묵직한 느낌이
3~5분 가량 지속되다가 없어지는 수준으로 내려와서
추후 초음파 검사 및 재진 일정만 잡고 집중 치료는 마무리 한 상태입니다
NRS 9~10 → NRS 1~2
*일본 분이셔서 일본어로도 써주셨네요 ㅎㅎ
치료 후기에 사용된 전/후 검사 사진은 동일 인물의 결과이며 각 지점 동일 조건에서 촬영되었습니다.
개인에 따라 치료 결과에 차이가 있을 수 있으며, 부작용이 발생할 수 있습니다. 내원 후 충분한 상담을 받으시고 치료를 진행하시면 됩니다.
- 치료기간 : 25 . 8 . 5 ~ 25 . 10 . 28
- 치료횟수 : 4 cycle(20) 회
치료 전 (TFCC)
치료 후 (TFCC)\