치료후기
이온한의원 치료후기 게시판
이온한의원에서 치료받으신 분들의 생생한 후기를
확인하실 수 있습니다.
이온한의원
치료후기 게시판
이온한의원에서 치료받으신 분들의 생생한 후기를 확인하실 수 있습니다.
치료후기에 사용된 전/후 검사 사진은 동일 인물의 결과이며 각 지점 동일 조건에서 촬영되었습니다. 개인에 따라 치료 결과에 차이가 있을 수 있으며, 부작용이 발생할 수 있습니다. 내원 후 충분한 상담 후 치료를 진행하시면 됩니다.
치료 후기에 사용된 전/후 검사 사진은 동일 인물의 결과이며 각 지점 동일 조건에서 촬영되었습니다.개인에 따라 치료 결과에 차이가 있을 수 있으며, 부작용이 발생할 수 있습니다. 내원 후 충분한 상담을 받으시고 치료를 진행하시면 됩니다.
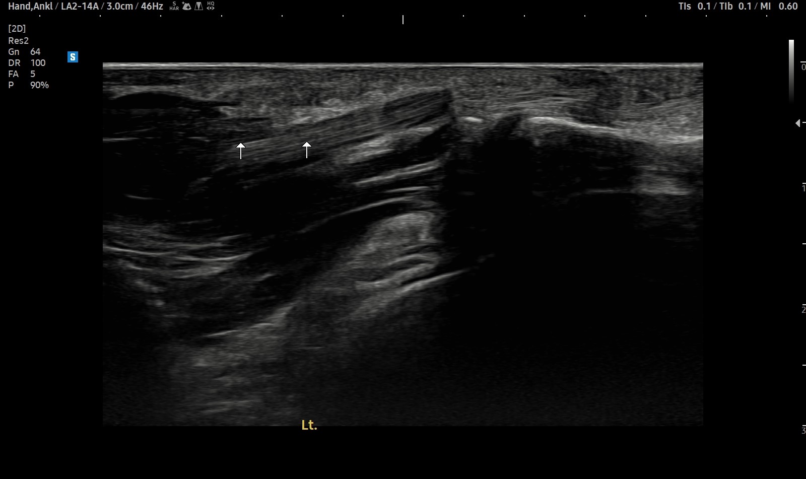
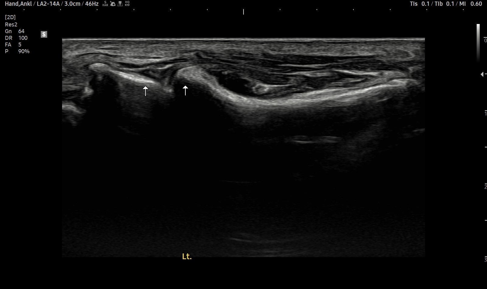
- 치료기간 : 25 . 6 . 9 ~ 25 . 10 .27
- 치료횟수 : 4 사이클(20) 회
치료전
치료 후
힘줄 두께 감소 및 전체적인 파열 부위 축소 & 골극 감소
-> 검사상 파열은 여전히 있지만 운동 이후에도 통증이 크게 없어서 치료 종료 후 3~4주정도 텀 두고 관찰 예정
- 치료기간 : 25 . 5 . 7 ~ 25 . 8 .12
- 치료횟수 : 4cycle(20) 회
치료후
- 치료기간 : 25 .6 .19 ~ 25 . 10 . 23
- 치료횟수 : 15 회 (아피톡신+극초단파)
치료 전 (족저근막 두께 0.44~0.61cm)
치료 후 (족저근막 두께 0.33~0.36cm)
- 치료기간 : 25 . 8 . 18 ~ 25 . 10 . 22
- 치료횟수 : 1 cylce(5) 회 _ 더 필요한 상태였으나, 환자분 상황상 조기 종료
치료 전
- 치료기간 : 25. 4 . 18 ~ 25 . 9 . 20
- 치료횟수 : 35회 (7cycle)
치료 전.
치료 후.
- 치료기간 : 25. 4 . 2 ~ 25 . 9 . 30
- 치료횟수 : 30회
- 치료기간 : 2025 . 5 . 21 ~ 2025 . 9 . 29
- 치료횟수 : 25회 (5cycle)
- 치료기간 : 2025 . 2 . 22 ~ 2025. 9 . 20
- 치료횟수 : 4cycle (20회)
8cycle 계획에서 빠른 호전으로 조기 치료 종결 case.
- 치료기간 : 25 .7 . 24 ~ 25 . 9 . 19
- 치료횟수 : 20 회
- 치료기간 : 25 . 5 . 3 ~ 25 . 9 . 11
- 치료횟수 : 10 회 (2 cycle)
우측 발 (치료 전 → 후)
이온한의원과 함께한 솔직하고 생생한
개인정보처리방침 이용약관 비급여진료비 환자권리장전
이온한의원 압구정주소 : 서울시 강남구 압구정로 28길 9, 2층사업자등록번호 : 713-91-01627
이온한의원 신도림주소 : 서울 구로구 경인로 643 신도림동아아파트 상가 205동 202호사업자등록번호 : 268-93-02004
이온한의원 압구정 | 주소 : 서울시 강남구 압구정로 28길 9, 2층 | 전화번호 : 02-543-1075 | 사업자등록번호 : 713-91-01627
이온한의원 신도림 | 주소 : 서울 구로구 경인로 643 신도림동아아파트 상가 205동 202호 | 전화번호 : 02-2675-1074 | 사업자등록번호 : 268-93-02004
치료 후기에 사용된 전/후 검사 사진은 동일 인물의 결과이며 각 지점 동일 조건에서 촬영되었습니다.
개인에 따라 치료 결과에 차이가 있을 수 있으며, 부작용이 발생할 수 있습니다. 내원 후 충분한 상담을 받으시고 치료를 진행하시면 됩니다.
- 치료기간 : 25 . 6 . 9 ~ 25 . 10 .27
- 치료횟수 : 4 사이클(20) 회
치료전
치료 후
힘줄 두께 감소 및 전체적인 파열 부위 축소 & 골극 감소
-> 검사상 파열은 여전히 있지만 운동 이후에도 통증이 크게 없어서 치료 종료 후 3~4주정도 텀 두고 관찰 예정

치료 후기에 사용된 전/후 검사 사진은 동일 인물의 결과이며 각 지점 동일 조건에서 촬영되었습니다.
개인에 따라 치료 결과에 차이가 있을 수 있으며, 부작용이 발생할 수 있습니다. 내원 후 충분한 상담을 받으시고 치료를 진행하시면 됩니다.
- 치료기간 : 25 . 5 . 7 ~ 25 . 8 .12
- 치료횟수 : 4cycle(20) 회
치료전
치료후
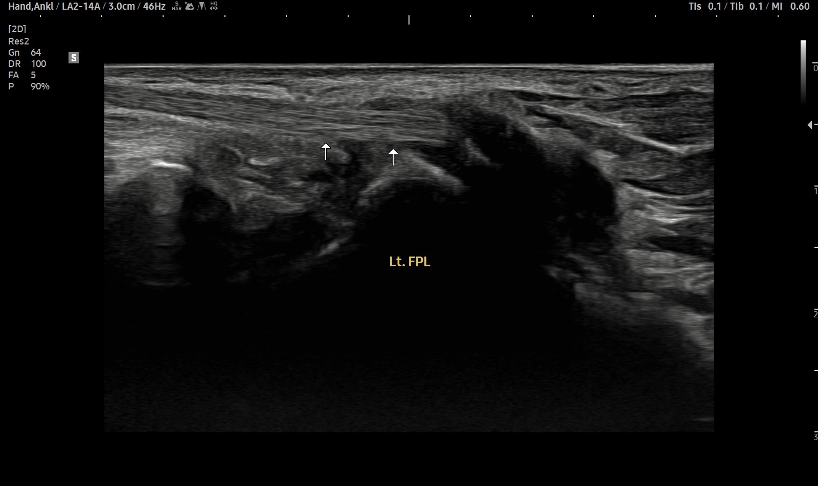
치료 후기에 사용된 전/후 검사 사진은 동일 인물의 결과이며 각 지점 동일 조건에서 촬영되었습니다.
개인에 따라 치료 결과에 차이가 있을 수 있으며, 부작용이 발생할 수 있습니다. 내원 후 충분한 상담을 받으시고 치료를 진행하시면 됩니다.
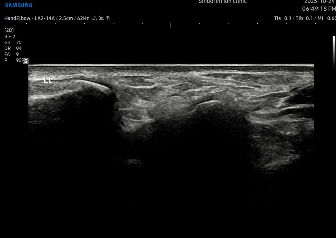
- 치료기간 : 25 .6 .19 ~ 25 . 10 . 23
- 치료횟수 : 15 회 (아피톡신+극초단파)
치료 전 (족저근막 두께 0.44~0.61cm)
치료 후 (족저근막 두께 0.33~0.36cm)
치료 후기에 사용된 전/후 검사 사진은 동일 인물의 결과이며 각 지점 동일 조건에서 촬영되었습니다.
개인에 따라 치료 결과에 차이가 있을 수 있으며, 부작용이 발생할 수 있습니다. 내원 후 충분한 상담을 받으시고 치료를 진행하시면 됩니다.
- 치료기간 : 25 . 8 . 18 ~ 25 . 10 . 22
- 치료횟수 : 1 cylce(5) 회 _ 더 필요한 상태였으나, 환자분 상황상 조기 종료
치료 전
치료 후
치료 후기에 사용된 전/후 검사 사진은 동일 인물의 결과이며 각 지점 동일 조건에서 촬영되었습니다.
개인에 따라 치료 결과에 차이가 있을 수 있으며, 부작용이 발생할 수 있습니다. 내원 후 충분한 상담을 받으시고 치료를 진행하시면 됩니다.
- 치료기간 : 25. 4 . 18 ~ 25 . 9 . 20
- 치료횟수 : 35회 (7cycle)
치료 전.
치료 후.
치료 후기에 사용된 전/후 검사 사진은 동일 인물의 결과이며 각 지점 동일 조건에서 촬영되었습니다.
개인에 따라 치료 결과에 차이가 있을 수 있으며, 부작용이 발생할 수 있습니다. 내원 후 충분한 상담을 받으시고 치료를 진행하시면 됩니다.
- 치료기간 : 25. 4 . 2 ~ 25 . 9 . 30
- 치료횟수 : 30회
치료 후기에 사용된 전/후 검사 사진은 동일 인물의 결과이며 각 지점 동일 조건에서 촬영되었습니다.
개인에 따라 치료 결과에 차이가 있을 수 있으며, 부작용이 발생할 수 있습니다. 내원 후 충분한 상담을 받으시고 치료를 진행하시면 됩니다.
- 치료기간 : 2025 . 5 . 21 ~ 2025 . 9 . 29
- 치료횟수 : 25회 (5cycle)
치료 전
치료 후
치료 후기에 사용된 전/후 검사 사진은 동일 인물의 결과이며 각 지점 동일 조건에서 촬영되었습니다.
개인에 따라 치료 결과에 차이가 있을 수 있으며, 부작용이 발생할 수 있습니다. 내원 후 충분한 상담을 받으시고 치료를 진행하시면 됩니다.
- 치료기간 : 2025 . 2 . 22 ~ 2025. 9 . 20
- 치료횟수 : 4cycle (20회)
8cycle 계획에서 빠른 호전으로 조기 치료 종결 case.
치료 전
치료 후
치료 후기에 사용된 전/후 검사 사진은 동일 인물의 결과이며 각 지점 동일 조건에서 촬영되었습니다.
개인에 따라 치료 결과에 차이가 있을 수 있으며, 부작용이 발생할 수 있습니다. 내원 후 충분한 상담을 받으시고 치료를 진행하시면 됩니다.
- 치료기간 : 25 .7 . 24 ~ 25 . 9 . 19
- 치료횟수 : 20 회
치료 전
치료 후
치료 후기에 사용된 전/후 검사 사진은 동일 인물의 결과이며 각 지점 동일 조건에서 촬영되었습니다.
개인에 따라 치료 결과에 차이가 있을 수 있으며, 부작용이 발생할 수 있습니다. 내원 후 충분한 상담을 받으시고 치료를 진행하시면 됩니다.
- 치료기간 : 25 . 5 . 3 ~ 25 . 9 . 11
- 치료횟수 : 10 회 (2 cycle)
우측 발 (치료 전 → 후)