치료후기
이온한의원 치료후기 게시판
이온한의원에서 치료받으신 분들의 생생한 후기를
확인하실 수 있습니다.
이온한의원
치료후기 게시판
이온한의원에서 치료받으신 분들의 생생한 후기를 확인하실 수 있습니다.
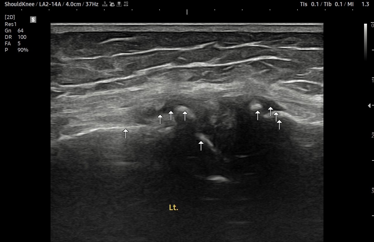
치료후기에 사용된 전/후 검사 사진은 동일 인물의 결과이며 각 지점 동일 조건에서 촬영되었습니다. 개인에 따라 치료 결과에 차이가 있을 수 있으며, 부작용이 발생할 수 있습니다. 내원 후 충분한 상담 후 치료를 진행하시면 됩니다.
치료 후기에 사용된 전/후 검사 사진은 동일 인물의 결과이며 각 지점 동일 조건에서 촬영되었습니다.개인에 따라 치료 결과에 차이가 있을 수 있으며, 부작용이 발생할 수 있습니다. 내원 후 충분한 상담을 받으시고 치료를 진행하시면 됩니다.
- 치료기간 : 25 . 4 . 19 ~ 25 . 9 . 0
- 치료횟수 : 20 회
치료 전
좌측: 비골근건 우측 ATFL
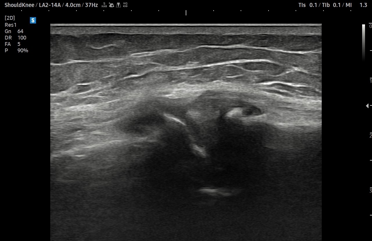
치료 후 : 비골근 건은 10회차에 마무리 / ATFL은 20회차에 마무리
[치료전]
[치료후]
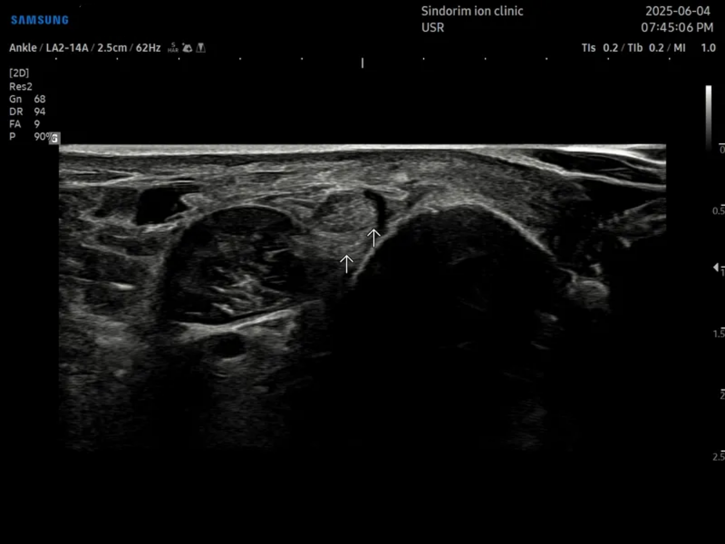
- 치료기간 : 25 . 7 . 25 ~ 25 . 9 . 3
- 치료횟수 : 5 회 (1Cycle)
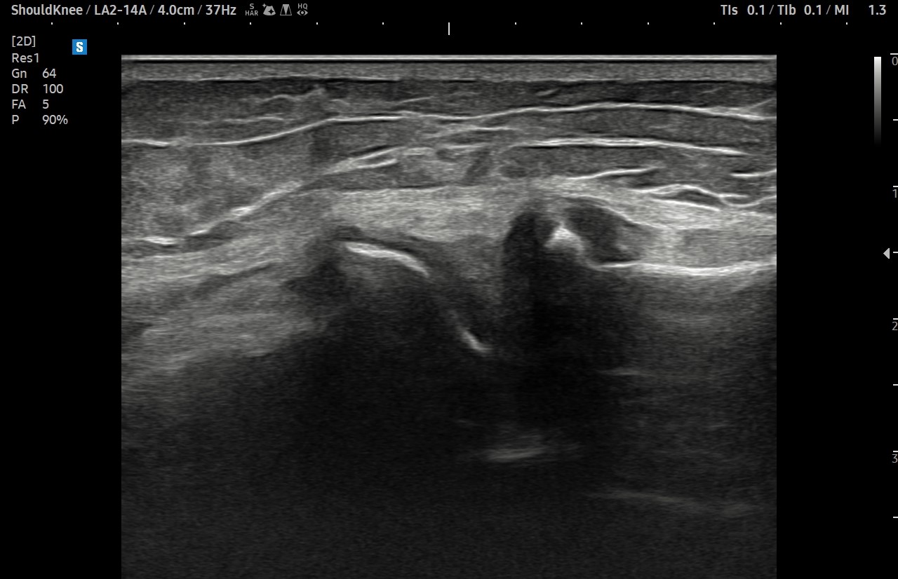
- 치료기간 : 2025. 7 . 4 ~ 2025 . 9 .1
- 치료횟수 : 10 회 (2cycle)
치료 후
- 치료기간 : 2025. 7. 11 ~ 2025. 8. 26
- 치료횟수 : 8회
- 치료기간 : 2024 . 7 8 . ~ 2025 . 8 .22
- 치료횟수 : 70 회 (cycle 집중 치료 기간 후인 2025년 3월 이후로는 1~2개월에 1회 내원)
- 치료기간 : 25 . 7 . 5 ~ 25 . 8 . 13
- 치료횟수 : 10 회
- 치료기간 : 25 . 5 . 22 ~ 25 . 8 .8
- 치료횟수 : 20 회(4 cycle)
- 치료기간 : 25 . 4 . 28 ~ 25 . 6 .27
- 치료횟수 : 12 회
- 치료기간 : 2025 . 6 . 14 ~ 2025 . 7 . 25
- 치료횟수 : 10 회(2cycle)
[치료 전]
[치료 후]
- 치료기간 : 25. 04 . 12 ~ 25 . 07 .14
- 치료횟수 : 3cycle (15회)
이온한의원과 함께한 솔직하고 생생한
개인정보처리방침 이용약관 비급여진료비 환자권리장전
이온한의원 압구정주소 : 서울시 강남구 압구정로 28길 9, 2층사업자등록번호 : 713-91-01627
이온한의원 신도림주소 : 서울 구로구 경인로 643 신도림동아아파트 상가 205동 202호사업자등록번호 : 268-93-02004
이온한의원 압구정 | 주소 : 서울시 강남구 압구정로 28길 9, 2층 | 전화번호 : 02-543-1075 | 사업자등록번호 : 713-91-01627
이온한의원 신도림 | 주소 : 서울 구로구 경인로 643 신도림동아아파트 상가 205동 202호 | 전화번호 : 02-2675-1074 | 사업자등록번호 : 268-93-02004
치료 후기에 사용된 전/후 검사 사진은 동일 인물의 결과이며 각 지점 동일 조건에서 촬영되었습니다.
개인에 따라 치료 결과에 차이가 있을 수 있으며, 부작용이 발생할 수 있습니다. 내원 후 충분한 상담을 받으시고 치료를 진행하시면 됩니다.
- 치료기간 : 25 . 4 . 19 ~ 25 . 9 . 0
- 치료횟수 : 20 회
치료 전
좌측: 비골근건 우측 ATFL
치료 후 : 비골근 건은 10회차에 마무리 / ATFL은 20회차에 마무리
치료 후기에 사용된 전/후 검사 사진은 동일 인물의 결과이며 각 지점 동일 조건에서 촬영되었습니다.
개인에 따라 치료 결과에 차이가 있을 수 있으며, 부작용이 발생할 수 있습니다. 내원 후 충분한 상담을 받으시고 치료를 진행하시면 됩니다.
[치료전]
[치료후]
- 치료기간 : 25 . 7 . 25 ~ 25 . 9 . 3
- 치료횟수 : 5 회 (1Cycle)
치료 후기에 사용된 전/후 검사 사진은 동일 인물의 결과이며 각 지점 동일 조건에서 촬영되었습니다.
개인에 따라 치료 결과에 차이가 있을 수 있으며, 부작용이 발생할 수 있습니다. 내원 후 충분한 상담을 받으시고 치료를 진행하시면 됩니다.
- 치료기간 : 2025. 7 . 4 ~ 2025 . 9 .1
- 치료횟수 : 10 회 (2cycle)
치료 전
치료 후
치료 후기에 사용된 전/후 검사 사진은 동일 인물의 결과이며 각 지점 동일 조건에서 촬영되었습니다.
개인에 따라 치료 결과에 차이가 있을 수 있으며, 부작용이 발생할 수 있습니다. 내원 후 충분한 상담을 받으시고 치료를 진행하시면 됩니다.
- 치료기간 : 2025. 7. 11 ~ 2025. 8. 26
- 치료횟수 : 8회
치료 전
치료 후
치료 후기에 사용된 전/후 검사 사진은 동일 인물의 결과이며 각 지점 동일 조건에서 촬영되었습니다.
개인에 따라 치료 결과에 차이가 있을 수 있으며, 부작용이 발생할 수 있습니다. 내원 후 충분한 상담을 받으시고 치료를 진행하시면 됩니다.
- 치료기간 : 2024 . 7 8 . ~ 2025 . 8 .22
- 치료횟수 : 70 회 (cycle 집중 치료 기간 후인 2025년 3월 이후로는 1~2개월에 1회 내원)
치료 후기에 사용된 전/후 검사 사진은 동일 인물의 결과이며 각 지점 동일 조건에서 촬영되었습니다.
개인에 따라 치료 결과에 차이가 있을 수 있으며, 부작용이 발생할 수 있습니다. 내원 후 충분한 상담을 받으시고 치료를 진행하시면 됩니다.
- 치료기간 : 25 . 7 . 5 ~ 25 . 8 . 13
- 치료횟수 : 10 회
치료 후기에 사용된 전/후 검사 사진은 동일 인물의 결과이며 각 지점 동일 조건에서 촬영되었습니다.
개인에 따라 치료 결과에 차이가 있을 수 있으며, 부작용이 발생할 수 있습니다. 내원 후 충분한 상담을 받으시고 치료를 진행하시면 됩니다.
[치료전]
[치료후]
- 치료기간 : 25 . 5 . 22 ~ 25 . 8 .8
- 치료횟수 : 20 회(4 cycle)
치료 후기에 사용된 전/후 검사 사진은 동일 인물의 결과이며 각 지점 동일 조건에서 촬영되었습니다.
개인에 따라 치료 결과에 차이가 있을 수 있으며, 부작용이 발생할 수 있습니다. 내원 후 충분한 상담을 받으시고 치료를 진행하시면 됩니다.
- 치료기간 : 25 . 4 . 28 ~ 25 . 6 .27
- 치료횟수 : 12 회
치료 후기에 사용된 전/후 검사 사진은 동일 인물의 결과이며 각 지점 동일 조건에서 촬영되었습니다.
개인에 따라 치료 결과에 차이가 있을 수 있으며, 부작용이 발생할 수 있습니다. 내원 후 충분한 상담을 받으시고 치료를 진행하시면 됩니다.
- 치료기간 : 2025 . 6 . 14 ~ 2025 . 7 . 25
- 치료횟수 : 10 회(2cycle)
치료 전
치료 후
치료 후기에 사용된 전/후 검사 사진은 동일 인물의 결과이며 각 지점 동일 조건에서 촬영되었습니다.
개인에 따라 치료 결과에 차이가 있을 수 있으며, 부작용이 발생할 수 있습니다. 내원 후 충분한 상담을 받으시고 치료를 진행하시면 됩니다.
[치료 전]
[치료 후]
- 치료기간 : 25. 04 . 12 ~ 25 . 07 .14
- 치료횟수 : 3cycle (15회)