치료후기
이온한의원 치료후기 게시판
이온한의원에서 치료받으신 분들의 생생한 후기를
확인하실 수 있습니다.
이온한의원
치료후기 게시판
이온한의원에서 치료받으신 분들의 생생한 후기를 확인하실 수 있습니다.
치료후기에 사용된 전/후 검사 사진은 동일 인물의 결과이며 각 지점 동일 조건에서 촬영되었습니다. 개인에 따라 치료 결과에 차이가 있을 수 있으며, 부작용이 발생할 수 있습니다. 내원 후 충분한 상담 후 치료를 진행하시면 됩니다.
치료 후기에 사용된 전/후 검사 사진은 동일 인물의 결과이며 각 지점 동일 조건에서 촬영되었습니다.개인에 따라 치료 결과에 차이가 있을 수 있으며, 부작용이 발생할 수 있습니다. 내원 후 충분한 상담을 받으시고 치료를 진행하시면 됩니다.
- 치료기간 : 2025. 5 . 7 ~ 2025 . 7 . 12
- 치료횟수 : 10 회 ( 2 cycle )
- 치료기간 : 25 . 4 . 1 ~ 25 . 5 26.
- 치료횟수 : 19 회
치료 전
치료 후
- 치료기간 : 25 .5 30 . ~ 25 . 6 .27
- 치료횟수 : 5 회(dna 1cycle)
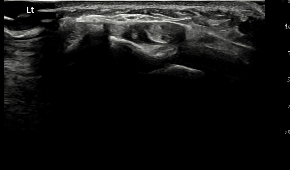
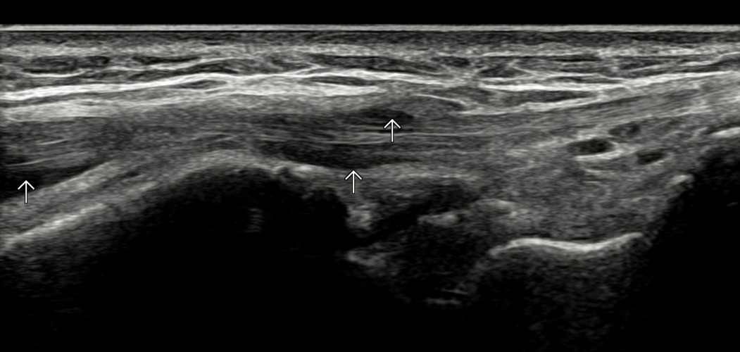
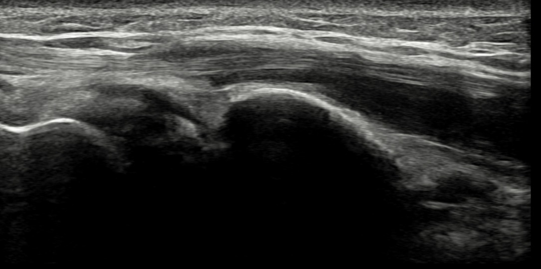
양 손목 신근지대 건초염 & 건염
- 치료기간 : 25 . 4 . 25 ~ 25 . 6 . 25
- 치료횟수 : 1Cycle(5 회)
- 치료기간 : 25 . 5 . 13 ~ 25 . 6 25.
- 치료횟수 : 10 회, 한약 1개월 + 라이넥 10회 + 극초단파 10회
[치료 전]
[치료 후]
- 치료기간 : 25 . 1 . 15 ~ 25 . 6 .23
- 치료횟수 : 5 Cycle( 25 회)
- 치료기간 : 2025 . 03 . 25 ~ 2025 . 6 . 17
- 치료횟수 : 4Cycle( 20 회)
- 치료기간 : 2024 . 4 . 26 ~ 2025 . 6 . 17
- 치료횟수 : 30회
- 치료기간 : 2025. 5. 1. ~ 2025. 6. 14
- 치료횟수 : 10 회
- 치료기간 : 2025. 2. 28 ~ 2025. 6. 10
- 치료횟수 : 3 Cycle (15회)
이온한의원과 함께한 솔직하고 생생한
개인정보처리방침 이용약관 비급여진료비 환자권리장전
이온한의원 압구정주소 : 서울시 강남구 압구정로 28길 9, 2층사업자등록번호 : 713-91-01627
이온한의원 신도림주소 : 서울 구로구 경인로 643 신도림동아아파트 상가 205동 202호사업자등록번호 : 268-93-02004
이온한의원 압구정 | 주소 : 서울시 강남구 압구정로 28길 9, 2층 | 전화번호 : 02-543-1075 | 사업자등록번호 : 713-91-01627
이온한의원 신도림 | 주소 : 서울 구로구 경인로 643 신도림동아아파트 상가 205동 202호 | 전화번호 : 02-2675-1074 | 사업자등록번호 : 268-93-02004
치료 후기에 사용된 전/후 검사 사진은 동일 인물의 결과이며 각 지점 동일 조건에서 촬영되었습니다.
개인에 따라 치료 결과에 차이가 있을 수 있으며, 부작용이 발생할 수 있습니다. 내원 후 충분한 상담을 받으시고 치료를 진행하시면 됩니다.
- 치료기간 : 2025. 5 . 7 ~ 2025 . 7 . 12
- 치료횟수 : 10 회 ( 2 cycle )
치료 후기에 사용된 전/후 검사 사진은 동일 인물의 결과이며 각 지점 동일 조건에서 촬영되었습니다.
개인에 따라 치료 결과에 차이가 있을 수 있으며, 부작용이 발생할 수 있습니다. 내원 후 충분한 상담을 받으시고 치료를 진행하시면 됩니다.
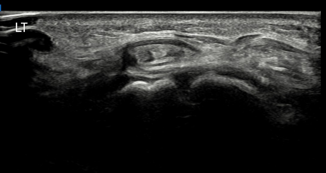
- 치료기간 : 25 . 4 . 1 ~ 25 . 5 26.
- 치료횟수 : 19 회
치료 전
치료 후
치료 후기에 사용된 전/후 검사 사진은 동일 인물의 결과이며 각 지점 동일 조건에서 촬영되었습니다.
개인에 따라 치료 결과에 차이가 있을 수 있으며, 부작용이 발생할 수 있습니다. 내원 후 충분한 상담을 받으시고 치료를 진행하시면 됩니다.
- 치료기간 : 25 .5 30 . ~ 25 . 6 .27
- 치료횟수 : 5 회(dna 1cycle)
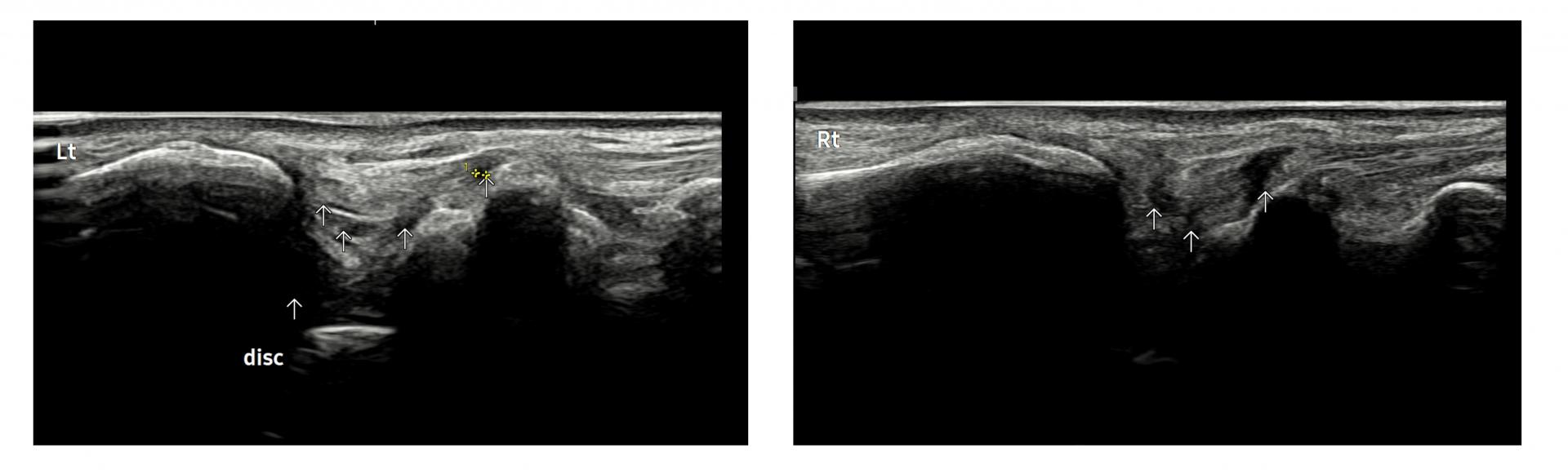
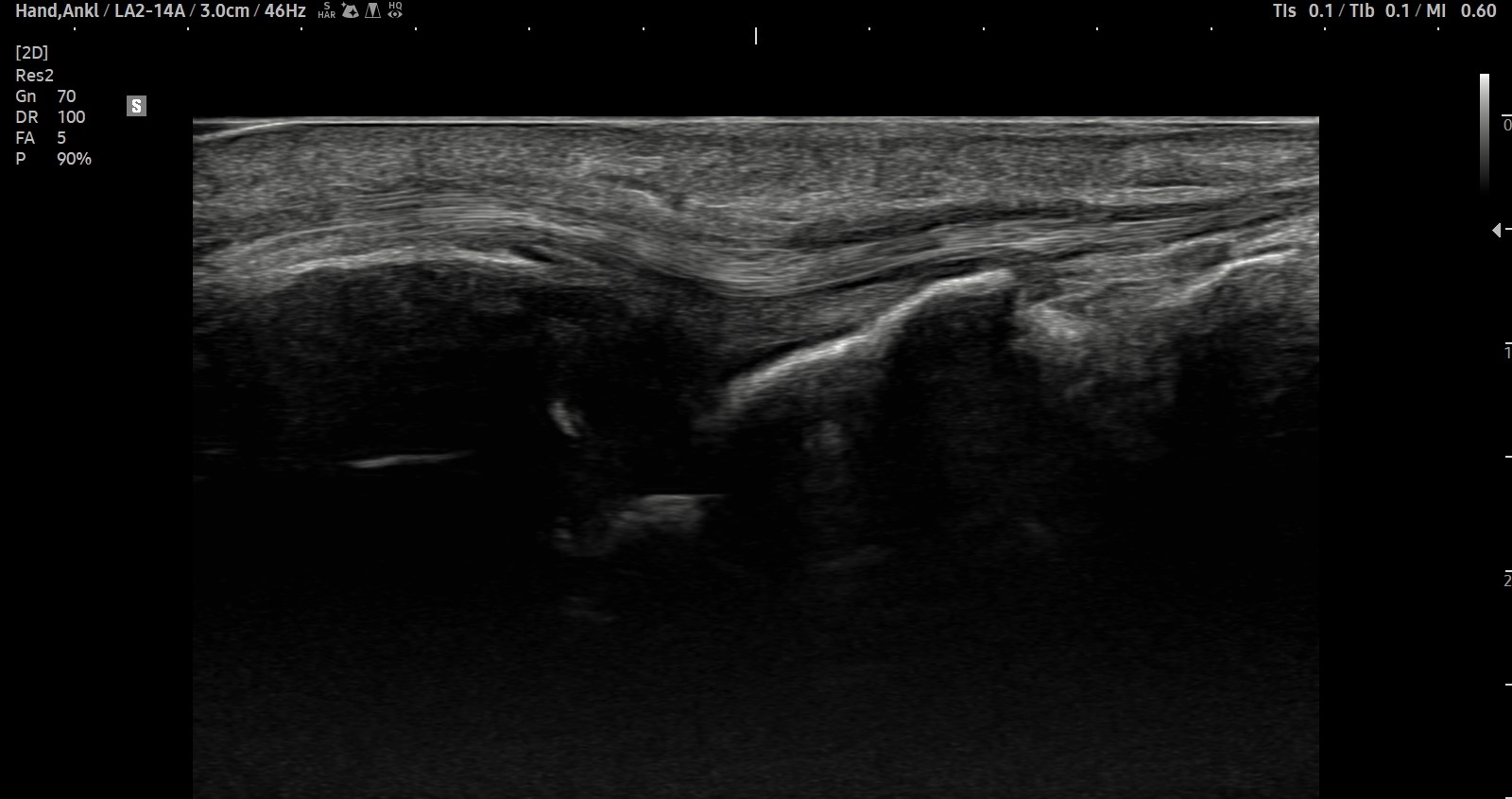
양 손목 신근지대 건초염 & 건염
치료 전
치료 후
치료 후기에 사용된 전/후 검사 사진은 동일 인물의 결과이며 각 지점 동일 조건에서 촬영되었습니다.
개인에 따라 치료 결과에 차이가 있을 수 있으며, 부작용이 발생할 수 있습니다. 내원 후 충분한 상담을 받으시고 치료를 진행하시면 됩니다.
- 치료기간 : 25 . 4 . 25 ~ 25 . 6 . 25
- 치료횟수 : 1Cycle(5 회)
치료 후기에 사용된 전/후 검사 사진은 동일 인물의 결과이며 각 지점 동일 조건에서 촬영되었습니다.
개인에 따라 치료 결과에 차이가 있을 수 있으며, 부작용이 발생할 수 있습니다. 내원 후 충분한 상담을 받으시고 치료를 진행하시면 됩니다.
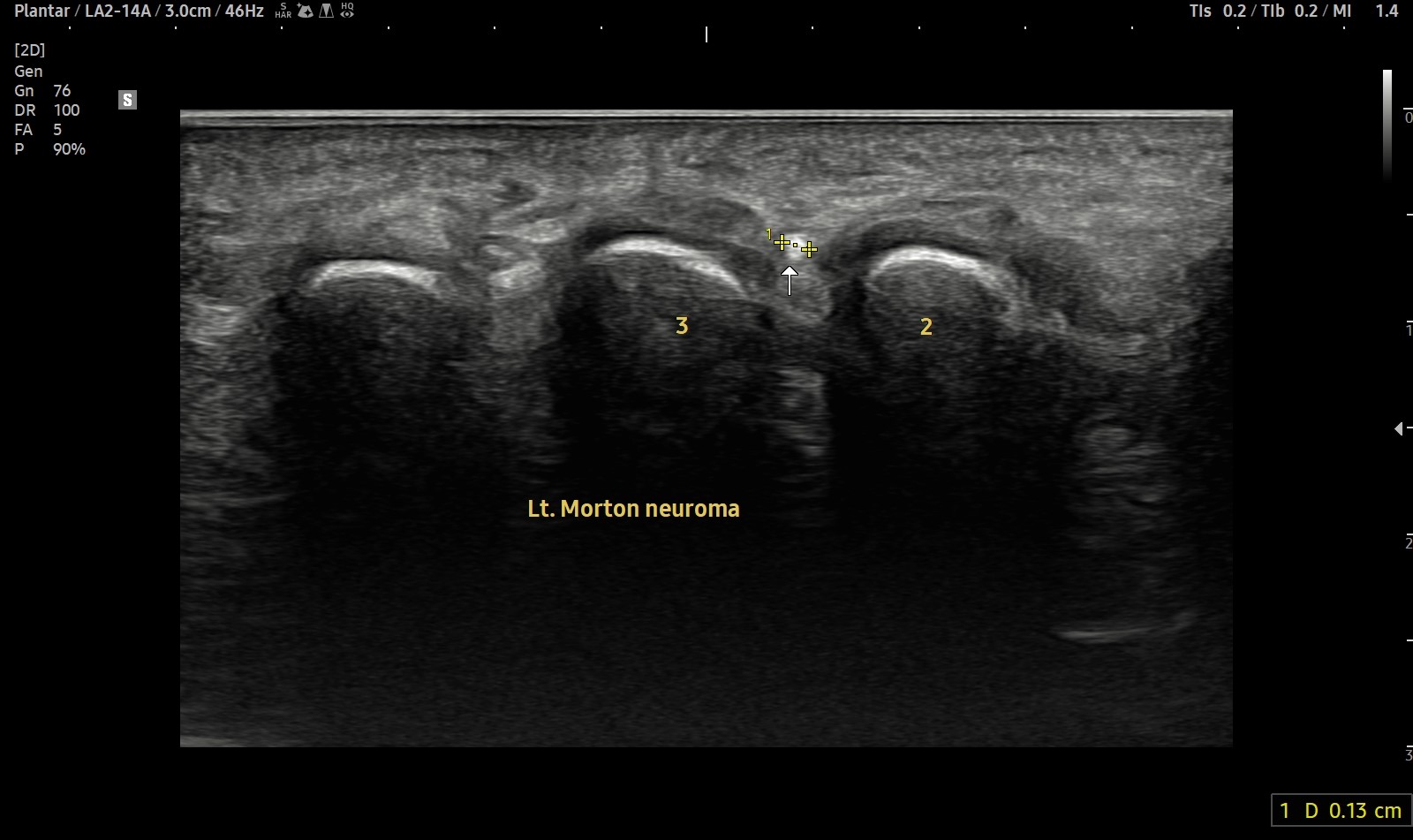
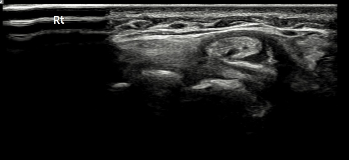
- 치료기간 : 25 . 5 . 13 ~ 25 . 6 25.
- 치료횟수 : 10 회, 한약 1개월 + 라이넥 10회 + 극초단파 10회
치료 전
치료 후
치료 후기에 사용된 전/후 검사 사진은 동일 인물의 결과이며 각 지점 동일 조건에서 촬영되었습니다.
개인에 따라 치료 결과에 차이가 있을 수 있으며, 부작용이 발생할 수 있습니다. 내원 후 충분한 상담을 받으시고 치료를 진행하시면 됩니다.
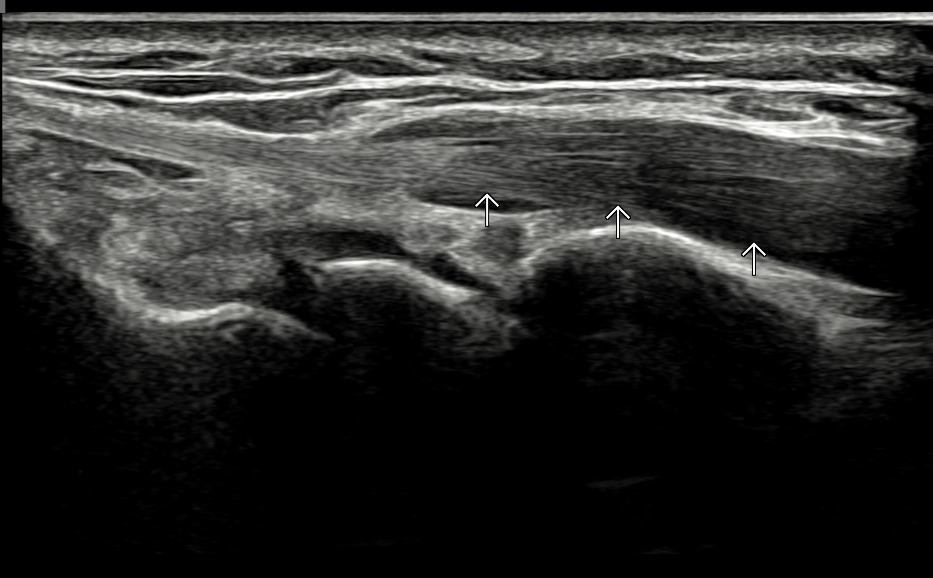
[치료 전]
[치료 후]
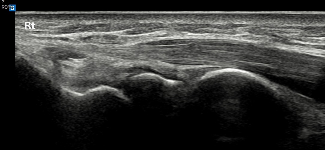
- 치료기간 : 25 . 1 . 15 ~ 25 . 6 .23
- 치료횟수 : 5 Cycle( 25 회)
치료 후기에 사용된 전/후 검사 사진은 동일 인물의 결과이며 각 지점 동일 조건에서 촬영되었습니다.
개인에 따라 치료 결과에 차이가 있을 수 있으며, 부작용이 발생할 수 있습니다. 내원 후 충분한 상담을 받으시고 치료를 진행하시면 됩니다.
- 치료기간 : 2025 . 03 . 25 ~ 2025 . 6 . 17
- 치료횟수 : 4Cycle( 20 회)
[치료 전]
[치료 후]
치료 후기에 사용된 전/후 검사 사진은 동일 인물의 결과이며 각 지점 동일 조건에서 촬영되었습니다.
개인에 따라 치료 결과에 차이가 있을 수 있으며, 부작용이 발생할 수 있습니다. 내원 후 충분한 상담을 받으시고 치료를 진행하시면 됩니다.
- 치료기간 : 2024 . 4 . 26 ~ 2025 . 6 . 17
- 치료횟수 : 30회
치료 후기에 사용된 전/후 검사 사진은 동일 인물의 결과이며 각 지점 동일 조건에서 촬영되었습니다.
개인에 따라 치료 결과에 차이가 있을 수 있으며, 부작용이 발생할 수 있습니다. 내원 후 충분한 상담을 받으시고 치료를 진행하시면 됩니다.
- 치료기간 : 2025. 5. 1. ~ 2025. 6. 14
- 치료횟수 : 10 회
[치료 전]
[치료 후]
치료 후기에 사용된 전/후 검사 사진은 동일 인물의 결과이며 각 지점 동일 조건에서 촬영되었습니다.
개인에 따라 치료 결과에 차이가 있을 수 있으며, 부작용이 발생할 수 있습니다. 내원 후 충분한 상담을 받으시고 치료를 진행하시면 됩니다.
- 치료기간 : 2025. 2. 28 ~ 2025. 6. 10
- 치료횟수 : 3 Cycle (15회)
[치료 전]
[치료 후]