치료후기
이온한의원 치료후기 게시판
이온한의원에서 치료받으신 분들의 생생한 후기를
확인하실 수 있습니다.
이온한의원
치료후기 게시판
이온한의원에서 치료받으신 분들의 생생한 후기를 확인하실 수 있습니다.
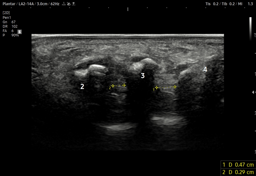
치료후기에 사용된 전/후 검사 사진은 동일 인물의 결과이며 각 지점 동일 조건에서 촬영되었습니다. 개인에 따라 치료 결과에 차이가 있을 수 있으며, 부작용이 발생할 수 있습니다. 내원 후 충분한 상담 후 치료를 진행하시면 됩니다.
치료 후기에 사용된 전/후 검사 사진은 동일 인물의 결과이며 각 지점 동일 조건에서 촬영되었습니다.개인에 따라 치료 결과에 차이가 있을 수 있으며, 부작용이 발생할 수 있습니다. 내원 후 충분한 상담을 받으시고 치료를 진행하시면 됩니다.
- 치료기간 : 25. 3 . 6 . ~ 26 . 4 .16
- 치료횟수 : 20 회(아피톡신+극초단파)
▲ 전
▼ 후
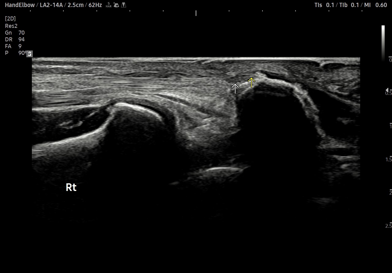
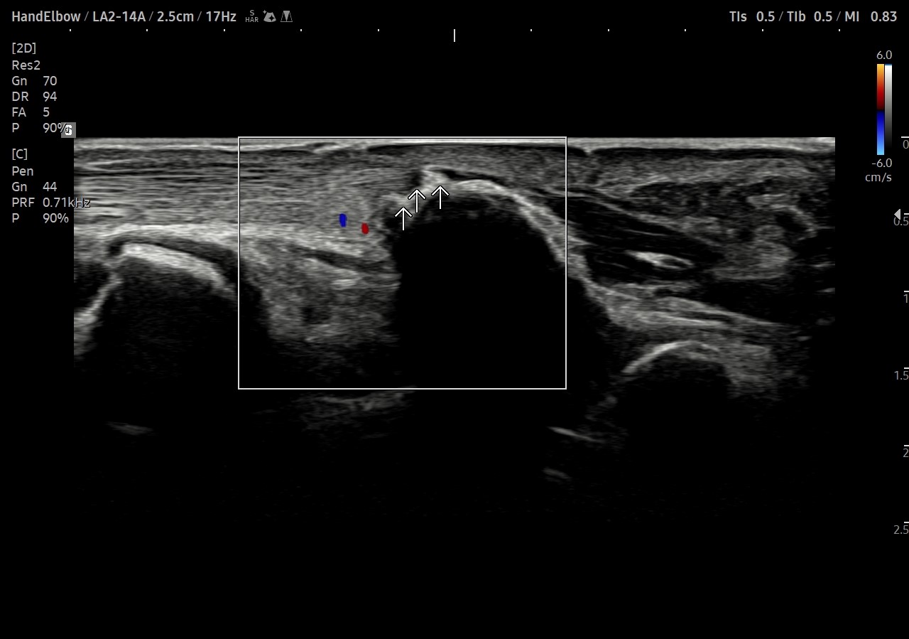
- 치료기간 : 26 . 02 . 12 ~ 26 . 04 . 14
- 치료횟수 : 10회
치료 전
치료 후
- 치료기간 : 26 . 03 . 10 ~ 26 . 03 . 24
- 치료횟수 : 5회
- 치료기간 : 25 . 10 . 11 ~ 26 . 2 .21
- 치료횟수 : 15 회( 3 cycle)
- 치료기간 : 26. 1 . 21 ~ 26 . 3 . 9
[치료전]
[치료후]
- 치료기간 : 26 . 1 . 26 ~ 26 . 3 . 3
- 치료횟수 : 10 회
- 치료기간 : 26 . 1 . 15 ~ 26 . 2 . 19
- 치료횟수 : 아피톡신 10 회 + 여성공진단 1개월
- 치료기간 : 25 . 12 . 26 ~ 26 . 2 . 21
- 치료기간 : 25 . 10 . 25 ~ 26 . 2 . 7
- 치료횟수 : 15 회
- 치료기간 : 25 . 12 . 10 ~ 26 . 2 . 6
- 치료횟수 : 10 회(Apitoxin)
날씨에 따라 무릎 통증과 시림이 심한 환자분의 치료사례
네이버 예약
카톡 상담
네이버 톡톡
유튜브
통증센터
한의약센터
이온한의원과 함께한 솔직하고 생생한
개인정보처리방침 이용약관 비급여진료비 환자권리장전
이온한의원 압구정주소 : 서울시 강남구 압구정로 28길 9, 2층사업자등록번호 : 713-91-01627
이온한의원 신도림주소 : 서울 구로구 경인로 643 신도림동아아파트 상가 205동 202호사업자등록번호 : 268-93-02004
이온한의원 압구정 | 주소 : 서울시 강남구 압구정로 28길 9, 2층 | 전화번호 : 02-543-1075 | 사업자등록번호 : 713-91-01627
이온한의원 신도림 | 주소 : 서울 구로구 경인로 643 신도림동아아파트 상가 205동 202호 | 전화번호 : 02-2675-1074 | 사업자등록번호 : 268-93-02004
치료 후기에 사용된 전/후 검사 사진은 동일 인물의 결과이며 각 지점 동일 조건에서 촬영되었습니다.
개인에 따라 치료 결과에 차이가 있을 수 있으며, 부작용이 발생할 수 있습니다. 내원 후 충분한 상담을 받으시고 치료를 진행하시면 됩니다.
- 치료기간 : 25. 3 . 6 . ~ 26 . 4 .16
- 치료횟수 : 20 회(아피톡신+극초단파)
▲ 전
▼ 후
치료 후기에 사용된 전/후 검사 사진은 동일 인물의 결과이며 각 지점 동일 조건에서 촬영되었습니다.
개인에 따라 치료 결과에 차이가 있을 수 있으며, 부작용이 발생할 수 있습니다. 내원 후 충분한 상담을 받으시고 치료를 진행하시면 됩니다.
- 치료기간 : 26 . 02 . 12 ~ 26 . 04 . 14
- 치료횟수 : 10회
치료 전
치료 후
치료 후기에 사용된 전/후 검사 사진은 동일 인물의 결과이며 각 지점 동일 조건에서 촬영되었습니다.
개인에 따라 치료 결과에 차이가 있을 수 있으며, 부작용이 발생할 수 있습니다. 내원 후 충분한 상담을 받으시고 치료를 진행하시면 됩니다.
- 치료기간 : 26 . 03 . 10 ~ 26 . 03 . 24
- 치료횟수 : 5회
치료 후기에 사용된 전/후 검사 사진은 동일 인물의 결과이며 각 지점 동일 조건에서 촬영되었습니다.
개인에 따라 치료 결과에 차이가 있을 수 있으며, 부작용이 발생할 수 있습니다. 내원 후 충분한 상담을 받으시고 치료를 진행하시면 됩니다.
- 치료기간 : 25 . 10 . 11 ~ 26 . 2 .21
- 치료횟수 : 15 회( 3 cycle)
치료 전


치료 후
치료 후기에 사용된 전/후 검사 사진은 동일 인물의 결과이며 각 지점 동일 조건에서 촬영되었습니다.
개인에 따라 치료 결과에 차이가 있을 수 있으며, 부작용이 발생할 수 있습니다. 내원 후 충분한 상담을 받으시고 치료를 진행하시면 됩니다.
- 치료기간 : 26. 1 . 21 ~ 26 . 3 . 9
- 치료횟수 : 10회
[치료전]
[치료후]
치료 후기에 사용된 전/후 검사 사진은 동일 인물의 결과이며 각 지점 동일 조건에서 촬영되었습니다.
개인에 따라 치료 결과에 차이가 있을 수 있으며, 부작용이 발생할 수 있습니다. 내원 후 충분한 상담을 받으시고 치료를 진행하시면 됩니다.
- 치료기간 : 26 . 1 . 26 ~ 26 . 3 . 3
- 치료횟수 : 10 회
치료 후기에 사용된 전/후 검사 사진은 동일 인물의 결과이며 각 지점 동일 조건에서 촬영되었습니다.
개인에 따라 치료 결과에 차이가 있을 수 있으며, 부작용이 발생할 수 있습니다. 내원 후 충분한 상담을 받으시고 치료를 진행하시면 됩니다.
- 치료기간 : 26 . 1 . 15 ~ 26 . 2 . 19
- 치료횟수 : 아피톡신 10 회 + 여성공진단 1개월
치료 후기에 사용된 전/후 검사 사진은 동일 인물의 결과이며 각 지점 동일 조건에서 촬영되었습니다.
개인에 따라 치료 결과에 차이가 있을 수 있으며, 부작용이 발생할 수 있습니다. 내원 후 충분한 상담을 받으시고 치료를 진행하시면 됩니다.
- 치료기간 : 25 . 12 . 26 ~ 26 . 2 . 21
- 치료횟수 : 10 회
치료 후기에 사용된 전/후 검사 사진은 동일 인물의 결과이며 각 지점 동일 조건에서 촬영되었습니다.
개인에 따라 치료 결과에 차이가 있을 수 있으며, 부작용이 발생할 수 있습니다. 내원 후 충분한 상담을 받으시고 치료를 진행하시면 됩니다.
- 치료기간 : 25 . 10 . 25 ~ 26 . 2 . 7
- 치료횟수 : 15 회
치료 전
치료 후
치료 후기에 사용된 전/후 검사 사진은 동일 인물의 결과이며 각 지점 동일 조건에서 촬영되었습니다.
개인에 따라 치료 결과에 차이가 있을 수 있으며, 부작용이 발생할 수 있습니다. 내원 후 충분한 상담을 받으시고 치료를 진행하시면 됩니다.
- 치료기간 : 25 . 12 . 10 ~ 26 . 2 . 6
- 치료횟수 : 10 회(Apitoxin)
날씨에 따라 무릎 통증과 시림이 심한 환자분의 치료사례